24時間WEB予約
実施中


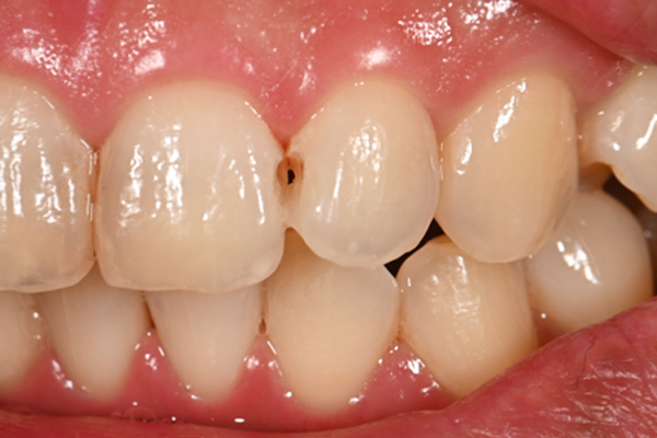
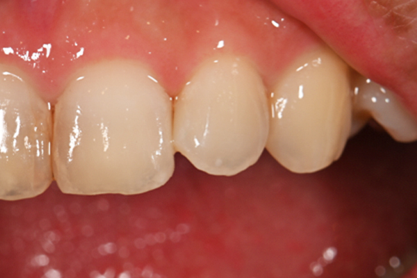
| 主訴 | 前歯に穴が空いている |
|---|---|
| 治療内容 | 左上1番目と2番目の虫歯を除去しレジン(歯と同じ色の材料)で充填保険の範囲内の診療でもここまできれいに治すことができます |
| 治療期間 | 1回 |
| 治療費 | 保険診療 |
| 治療リスク | 時間が経つと着色が起こることがある |


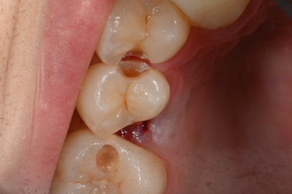
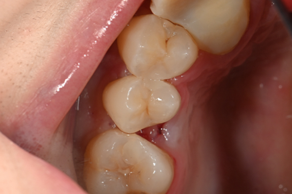
| 主訴 | 虫歯があると思う |
|---|---|
| 治療内容 | 治療前の写真は虫歯除去途中の写真です。完全に虫歯除去後レジンという材料で埋めています。 保険診療の範囲ですが非常にきれいに仕上がります |
| 治療期間 | 1回 |
| 治療費 | 保険診療 |
| 治療リスク | 経年的に着色、摩耗することがあります |
南町田の歯医者「まえだ歯科 南町田駅前院」は南町田の総合歯科医院です。
急な痛み、取れた腫れたなどの急患対応から、インプラントのような外科処置が必要な診療まで、
全ての歯科治療で高い技術力を提供いたします。
| 診療時間 | 月 | 火 | 水 | 木 | 金 | 土 | 日 |
|---|---|---|---|---|---|---|---|
| 10:00~19:00 | ● | ● | ● | ● | ● | ● | ● |
※祝日の診療時間は土日と同じです。
〒194-0004
東京都町田市鶴間 3丁目2番地8
『南町田グランベリーパーク駅』より徒歩3分
\今すぐ診て欲しい方はお電話ください/
042-850-7671

南町田駅前院のご予約が取れない場合、
南町田グランベリーパーク院でご案内できる場合がございます。
最寄り駅も南町田グランベリーパーク駅と同じため、
ぜひご検討ください。