24時間WEB予約
実施中
正しい噛み合わせときれいな歯を取り戻すことは、見た目が若々しくなるだけでなく、全身の健康にも貢献します。一言に審美歯科治療と言っても、単に見た目を綺麗にするだけではなく正常なかみ合わせを作り出し、身体の機能をあるべき状態へ導く、機能美も求められます。
また、歯にコンプレックスを持っていて「人と話しづらい」「思い切り笑えない」という悩みを解消するのも重要な役割の一つです。お口の中の全体バランスを整え、本来の健康的で美しい笑顔を手に入れることが、審美歯科治療の目的です。
当院の審美歯科では、ただ歯を白くするだけでなく、お口全体のバランスを考えた、美しさと機能性を両立させた治療を心がけています。
患者様一人ひとりのお悩みやご希望を丁寧にヒアリングし、セラミックなどの様々な素材の中から、あなたに最適な治療プランを提案します。
患者様のイメージする姿に仕上げられるかどうかが重要となるため、当クリニックではカウンセリングにも十分に時間を取り、丁寧にわかりやすい説明を大切にしております。ずっと抱えていたお悩み、小さな疑問も遠慮なくお聞かせください。
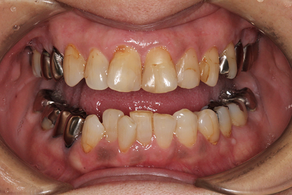
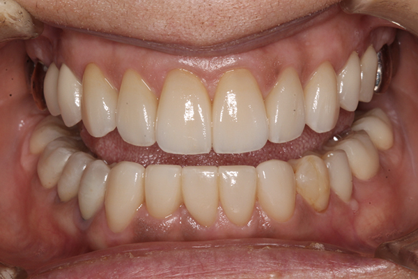
当院で実際に治療を行った審美歯科の症例について詳しくご紹介しております。


| 主訴 | 歯の色、歯並びが気になる |
|---|---|
| 治療内容 | 前歯・奥歯の被せ物治療(ラミネートベニア、オールセラミック) |
| 治療期間 | 2ヶ月 |
| 治療費 | 190万円 |
| 治療リスク | 被せ物をつけた初期の段階で歯がしみることがある(時間とともに改善する) |
セラミック治療とは、セラミック(陶器)でできた詰め物や被せ物を使って、歯を修復する治療のことです。
保険の素材に比べ、天然の歯のような透明感があり、美しく自然な仕上がりが期待できます。
また、金属アレルギーの心配がない点もメリットです。お口全体の健康と美しさを両立したい方におすすめします。
セラミック治療には以下のような治療法があります。
ホワイトニングやラミネートベニアでも白い歯にならない歯や、虫歯などに侵された歯の外側を削って、そこに人工材料で作った冠(クラウン)をかぶせる方法のことをいいます。歯の色や形、歯並びなどの審美的要素をトータルに改善することができるのが特徴です。
オールセラミックス・クラウンは、金属を一切使用していない材質のため、ほとんど自然の歯と見分けがつかないほど色調も再現することができます。そのため、前歯など審美性が重要となる部分の歯の治療に最適です。部分的な歯列矯正にも適用可能です。
クラウンとは、虫歯などで歯を大きく削った後、全体をすっぽりと覆う「被せ物」のことです。
当院では、保険診療の金属の他に、見た目が天然の歯に近いセラミックなどの素材もご用意しています。
お口の状態やご希望に合わせ、最適な素材をご提案しますので、まずはお気軽にご相談ください。
天然の歯とほぼ同じ色のセラミック製の詰め物です。小さな虫歯の場合、その悪くなった部分だけを取り除き、その穴をきれいに形成した上で人工材料の詰め物を施します。従来は、インレー法で使う詰め物には金属が使用されていましたが、審美性を高めるためにセラミックを使用するセラミック・インレー法が開発されました。
金属ではかなわなかった天然歯に合わせたカラーリングができるため、美しく自然な仕上がりが期待できます。近年では、すでに治療済みの奥歯の詰め物をセラミック・インレーに詰め替える患者様も増えています。
インレーとは、虫歯を削った後の穴を埋める、部分的な詰め物のことです。
当院では、保険診療の金属の他に、見た目が美しく、長持ちするセラミックなどの素材もご用意しています。
お口の状態やご希望に合わせ、最適な素材をご提案しますので、まずはお気軽にご相談ください。
ブリッジとは、歯が抜けてしまった部分を補うための治療法です。
両隣の健康な歯を土台として橋をかけるように人工の歯を繋ぎ、固定します。
当院では、保険診療の金属から、天然の歯に近いセラミックまで、様々な素材をご用意しています。最適な治療法を一緒に検討しましょう。
ラミネートベニアとは、歯の表面を少し削って、セラミック製の薄い板をつけ爪のように貼り付ける治療法です。
遺伝的にホワイトニングだけでは白い歯にならない場合や、歯の形態を直したい場合に歯の表層を少し削り、薄いセラミックの板を表面に貼つける方法です。材質はポーセレン(セラミック)で、歯ぐきにもやさしく磨耗や変色の心配もありません。通院も2回程度で済みます。
歯を白くするだけでなく、虫歯やねじれた歯、磨耗した歯、奇形歯などにも幅広く適応でき、歯の色や形、ちょっとした隙間を短期間で美しく整えることができます。当院では患者様のお悩みを丁寧に伺い、理想の口元を一緒に目指します。お気軽にご相談ください。
歯のホワイトニングとは、加齢、生活習慣、遺伝などが原因で黄ばんだ歯を薬の力で白く漂白する方法です。現在のホワイ トニングは、歯科医院により様々ですが、歯の表面に過酸化水素を主成分とした薬剤を塗って漂白する方法、個人の歯に合わせて作られたトレー(マウスピース)にジェル状の漂白剤を注入して歯に装着する方法などによって歯自体を白くすることが可能となりました。
ホームホワイトニングはご自宅でできる歯のホワイトニングです。患者さま一人一人の歯型にあったカスタムトレーをお作りします。
忙しい方やなかなか歯医者さんに通うことができない方におすすめです。一度その方に合ったカスタムトレーを作ってしまえば、ホワイトニングジェルの追加のみで何度も使用可能です。
| ホームホワイトニング 着色除去ではなく歯自体を白くする治療 |
33,000円 |
|---|
当院では、自費診療の被せ物等には保証制度があり、保証書をお渡ししております。
| 使用開始から | 患者様ご負担 |
|---|---|
| 1年未満 | 0% |
| 1年以上〜2年未満 | 20% |
| 2年以上〜3年未満 | 40% |
| 3年以上〜4年未満 | 60% |
| 4年以上〜5年未満 | 80% |
| 5年以上 | 100% |
診断・診査を行い、治療を提供できるように心がけています。また、患者様が安心して通っていただけるような明るい院内雰囲気・環境を設けております。
お口のお悩みを抱えている方はまずはお気軽にご相談ください。院長が直接カウンセリング致します。丁寧な治療説明・カウンセリングを通してベストな歯科医療を提供いたします。
治療相談はこちら南町田の歯医者「まえだ歯科 南町田駅前院」は南町田の総合歯科医院です。
急な痛み、取れた腫れたなどの急患対応から、インプラントのような外科処置が必要な診療まで、
全ての歯科治療で高い技術力を提供いたします。
| 診療時間 | 月 | 火 | 水 | 木 | 金 | 土 | 日 |
|---|---|---|---|---|---|---|---|
| 10:00~19:00 | ● | ● | ● | ● | ● | ● | ● |
※祝日の診療時間は土日と同じです。
〒194-0004
東京都町田市鶴間 3丁目2番地8
『南町田グランベリーパーク駅』より徒歩3分
\今すぐ診て欲しい方はお電話ください/
042-850-7671

南町田駅前院のご予約が取れない場合、
南町田グランベリーパーク院でご案内できる場合がございます。
最寄り駅も南町田グランベリーパーク駅と同じため、
ぜひご検討ください。